Was ist Facettensyndrom ?
Das Facettensyndrom gehört zu den degenerativen (verschleißbedingten) Erkrankungen der Wirbelsäule und beschreibt ein Komplex verschiedener Krankheitszeichen bei fortgeschrittener Abnutzung der kleinen Wirbelgelenke (Spondylarthrose).
Die Spondylarthrose selbst kann entweder als eigenständiges, führendes Krankheitsbild auftreten, dann spricht man von einem Facettensyndrom, oder wiederum Verursacher anderer Krankheitsbilder sein (z.B. Spinalkanalstenose).
Von einem Facettensyndrom sind vorwiegend Menschen über 50 Jahre betroffen. Ganz überwiegend tritt dieses Krankheitsbild im Bereich der unteren Lendenwirbelsäule auf, kann aber auch die Wirbelgelenke (Facetten) der Halswirbelsäule, am seltensten die der Brustwirbelsäule betreffen.
Lokale Rückenschmerzen mit Zunahme bei Belastung und Besserung in Ruhe sind die führenden Krankheitszeichen.
Ein Bandscheibenschaden, wie er nach einem Bandscheibenvorfall auftritt, kann ursächlich für das Facettensyndrom sein.
Ursache Facettensyndrom
Das Facettensyndrom ist eine erworbene Alterskrankheit.
Zu den Ursachen ihrer Entstehung gehören:
- Überlastungen in Beruf und Sport
- Bandscheibendegenerationen / Bandscheibenverschleiß
- Bandscheibenvorfall
- Wirbelsäuleninstabilitäten
- Wirbelsäulenverformungen (Seitverkrümmungen /Skoliose; Hyperlordose (Hohlkreuz)
- Rheumatische Erkrankungen
- Übergewicht / Muskelschwäche
Krankheitsentstehung
Die Krankheitsentstehung des Facettensyndrom ist im Zusammenhang mit anderen degenerativen Wirbelsäulenerkrankungen zu sehen. Der Verschleiß der Bandscheiben beginnt schon in den 20iger Jahren eines Menschen. Es kann zur Bandscheibenvorwölbung oder zum Bandscheibenvorfall kommen. Der zunehmende Wasserverlust der Bandscheibe führt zu einer Höhenabnahme des Zwischenwirbelkörperabschnittes (Osteochondrose). Die Folgen sind eine Überlastung der kleinen Wirbelgelenke.
Grund- und Deckplatten der Wirbelkörper werden durch die erniedrigte Bandscheibe mehr belastet. Der Körper reagiert darauf mit einer Knochenverdichtung im Bereich dieser Strukturen, was röntgenologisch zu erkennen ist.
Die sich schleichend entwickelnde Instabilität der Wirbelsäule versucht der Köper dahingehend zu begegnen, dass knöcherne Anbauten an den Wirbelkörpern produziert werden, die nach Halt in der Umgebung suchen.
- Bei sehr weit fortgeschrittener Instabilität, kann sich eine verschleißbedingte Verkrümmung der Wirbelsäule ausbilden, wodurch die Statik der Wirbelsäule weiter geschwächt wird (degenerative Skoliose).
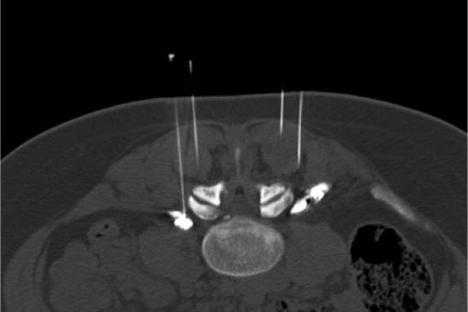
CT-gesteuerte Schmerztherapie
(PRT-Periradikuläre-Schmerztherapie und Facetteninfiltration)
Bei der CT-gesteuerten Schmerztherapie handelt es sich um ein besonders präzises Verfahren. So werden per computertomographischer Planung in Bauchlage des Patienten feine Nadeln millimetergenau an die schmerzenden Strukturen wie Wirbelgelenke oder Nervenwurzeln sowie ggf. auch an einen Bandscheibenvorfall herangeführt. Nach Kontrolle der Nadellage werden z.B. die Wirbelgelenke infiltriert oder aber ein Nervenwurzel mit betäubenden und entzündungshemmenden Medikamenten umspritzt.
Selbstverständlich erfolgt vor jeglicher Therapie eine präzise Analyse des Schmerzes durch die genaue Befragung des Patienten zu seinem Schmerzbild gefolgt von einer klinisch-neurologischen Untersuchung durch den behandelnden Neurochirurgen in der Praxis. Anschließend werden diese Befunde mit den Ergebnissen einer kernspintomographischen oder computertomographischen Untersuchung (MRT oder CT) verglichen.
Klassische Zielpunkte der CT-Therapie sind vor allem:
- Die Nervenwurzeln bei Ischiasschmerzen, die entsprechend des jeweils betroffenen Bandscheibensegmentes ins Bein ausstrahlen; Ursachen sind meist Bandscheibenvorwölbungen und Bandscheibenvorfälle oder verschleißbedingte knöcherne Verengungen des Wirbelkanals oder der Nervenwurzel-Austrittslöcher = CT- gesteuerte periradikuläre Therapie ( „CT-PRT“)
- Die Gelenke der Wirbelsäule, die auch als Gelenkfacetten bezeichnet werden und bei Überlastung durch Bandscheibenschäden oder Abnutzung eher lokale Rückenschmerzen ggf. mit Ausstrahlung in die Hüfte oder Leiste oder auch Blockierungen („Hexenschuss“) auslösen = CT-gesteuerte Facettentherapie
- Gelegentlich die Ileosacralgelenke als knorpelige Verbindung zwischen Kreuzbein und Beckenschaufeln; Ursache der Schmerzen sind meist ein Verschleiß, eine Bänderschwäche oder sie treten reaktiv bei Erkrankung der unteren Lendenbandscheiben auf (CT-gesteuerte ISG-Infiltration).
- Spricht ein Patient auf die mehrmalige Infiltration eines Facettengelenkes gut an, kommt es jedoch bereits nach wenigen Wochen oder Monaten wieder zu einer starken Schmerzzunahme, empfiehlt sich die Verödung des Wirbelgelenkes. Hierzu stehen uns noch eine Methode zur Verfügung u.a. Infiltration der Gelenkfacetten mit hochprozentigem Alkohol (Denervation der Facetten).
Prozedur : Wie wird die CT- gesteuerte Schmerztherapie durchgeführt?
Die Behandlung wird grundsätzlich in örtlicher Betäubung mit sehr feinen Nadeln vorgenommen. Der Patient liegt auf dem Bauch auf dem CT-Tisch. Zur genauen Höhenlokalisation der Schmerzstelle wird auf den Rücken ein Metallstreifen /Büroklammer geklebt. Ein so genanntes Topogramm, also eine Übersichtsaufnahme des entsprechenden Wirbelsäulenabschnittes wird angefertigt. Jetzt kann auf dem computertomographischen Schnittbild die Schmerzstelle lokalisiert werden. Auf dem Bearbeitungsmonitor können dann der exakte Eintrittspunkt der Nadel, der Winkel und die Tiefe, sowie die Stelle. in der gespritzt werden soll, ermittelt werden. All diese Parameter werden anschließend mit einem Laserpunkt auf dem Patienten dargestellt. Gefolgt von einer örtlichen Punktion nach steriler Säuberung der Haut kann die feine Punktionsnadel, die eine millimetergenaue Skalierung aufweist, am Schmerzpunkt platziert werden. Es folgt die CT- Kontrollaufnahme zur Dokumentation der exakten Nadellage. Um das Verteilungsmuster des zur verabreichenden Medikamente feststellen zu können, wird eine kleine Menge von verdünntem Kontrastmittel gespritzt. Dann werden Medikamente um die Nervenwurzeln verabreicht (PRT= Periradikuläre Schmerztherapie).
Um die Nervenwurzeln wird ein langwirksames Betäubungsmittel gespritzt. Zur Optimierung der Wirkung und der Verträglichkeit setze ich als entzündungshemmende Präparate zusätzliche kleine Mengen von long acting Corticosteroide ein, die verzögert über längere Zeit am Wirkort freigesetzt werden. An Nervenwurzeln wird fast ausschließlich eine kleine Menge eiweißgelöstes Depot-Corticosteroid gespritzt. Sinn dieses Medikamentes ist, die Entzündungsreaktion im Nerv abzudämpfen und die Schwellung aufzuheben, so dass bei Entspannung der Nervenwurzel der Schmerz verschwindet oder sich abschwächt.
Patienteninformationszettel über CT-gesteuerte Schmerztherapie
Es handelt sich hierbei um eine sehr effektive Behandlungsmethode derjenigen Patienten, bei denen computertomographisch ein Bandscheibenvorfall und/oder eine gewisse Einengung im Bereich der Nervenwurzel diagnostiziert wurde. Hierbei wird eine dünne Nadel unter CT_-Kontrolle bis nahe an die Nervenwurzel vorgeschoben, um dort exakt an diesem Nerv das Medikament zu verabreichen.
Zur Anwendung kommen zwei Medikamentengruppen. Zum einen sind es die lokal- und langwirkenden Betäubungsmittel, zum anderen ebenfalls lokalwirksames entzündungshemmendes Mittel in Form eines kristalloiden Cortisonpräparates (Long acting Corticosteroids).
Die lokale Instillation solcher Substanzen wurde Jahrzehnte vor der CT-Lehre praktiziert. Die Ergänzung jetzt unter Zuhilfenahme der CT – bedeutet für den Patienten und behandelnde Arzt eine größere Sicherheit und Effektivität
Die Erfolgsquote dieser Behandlungsmethode mit einer Linderung der Symptomatik mit hin bis zur Beschwerdenfreiheit liegt bei etwas 80 %. In der Regel sind 6 Behandlungen erforderlich, um ein optimales Ergebnis zu erzielen. Das erzielte Ergebnis hält in der Regel nicht nur für die Behandlungsdauer an, sondern bisweilen einige Jahre.
Die Applikation des Präparates ist wegen der lokalen Betäubung schmerzfrei, kann jedoch zu kurzfristigen Taubheitsgefühl und Schwäche im Bein führen. Dies bedeutet eine Einschränkung der Fahrtüchtigkeit unmittelbar nach der PRT-Therapie-Sitzung.
Als Nebenwirkungen können allergische Reaktionen auftreten, die in seltenen Fällen zu Schockreaktionen führen können und einer notfallmäßigen Therapie bedürfen. Die Anwendung von Cortison in diesen geringen Dosen ist unbedenklich, trotzdem sind hier die typischen bzw. mäßigen Reaktionen auf das Cortison zu erwähnen, wie leichte Gewichtszunahme, geringer Anstieg des Blutzuckers und des Blutdrucks, Wadenkrämpfe, vermehrte Brüchigkeit kleinerer Gefäße, Zyklusstörungen bei Frauen, Begünstigung von Magen-Darmgeschwüren. Auch lokale Entzündungen können auftreten.
Um all dem Rechnung zu tragen, sollten Sie jedem Falle folgende Erkrankungen melden:
- Diabetes mellitus (Zuckerkrankheit)
- Magen-Darmgeschwüre
- Durchgemachte Thrombrose/Embolie
- Fehlbildung des Rückenmarks





