Was ist Röntgenreizbestrahlung?
Die Röntgenreizbestrahlung, auch Schmerzbestrahlung, Orthovolttherapie oder Röntgentiefentherapie genannt, ist eine Form der Strahlentherapie, die zur Behandlung von gutartigen Erkrankungen, insbesondere Verschleißerscheinungen und Entzündungen der Gelenke und der Weichteile, angewandt wird.
Die auch als Strahlentherapie bei gutartigen Erkrankungen bezeichnete Röntgenreizbestrahlung wird bereits seit über 100 Jahren zur Behandlung verschiedener Krankheitsbilder eingesetzt. Dabei werden die zu behandelnden Körperstellen niedrigdosierter Röntgenstrahlung ausgesetzt, wodurch diverse Prozesse im kranken Gewebe in Gang gesetzt werden. Zwar ist ihre Wirkungsweise noch nicht vollends geklärt, doch wird angenommen, dass u.a. die Durchblutung gesteigert und die Aktivität von Immunzellen, die bei Entzündungen eine wichtige Rolle spielen, und Fibroblasten, die für die Bildungen von Narben verantwortlich sind, gehemmt wird. Dadurch werden zwar nicht die anatomischen Veränderungen, die zu den Schmerzen geführt haben, korrigiert, es werden jedoch die entzündlichen Begleiterscheinungen positiv beeinflusst. Innerhalb von Tagen oder Wochen (manchmal Monaten) kann es zur Schmerzlinderung oder gar völligen Schmerzfreiheit kommen.
Unsere Praxis verfügt über 2 Systeme für die analgetische / antiphlogistische Röntgenstrahlentherapie:
A) Röntgenstrahlentherapiegerät RT 250 der Firma Philips-Müller
B) Röntgenstrahlentherapiegerät Xstrahl 200 der Firma Xstrahl Medical GmbH
Xstrahl 200
Fa. X Strahl Medical GmbH
Es handelt sich hierbei um den Einsatz einer niedrig - dosierten Röntgenbestrahlung zur örtlichen Schmerzbekämpfung bei chronischen Gelenk- oder Weichteilerkrankungen, bei denen trotz intensiven Behandlungen keine Linderung erzielt werden konnte.
Die wichtigsten Indikationen zur Röntgenreizbestrahlung:
- Periarthritis- humero- scapularis- calcificans (PHS), sog. Schultersteife oder Kalkschulter
- Epicondylitis- humero- radialis oder ulnaris (EHP), sog. Tennisarm
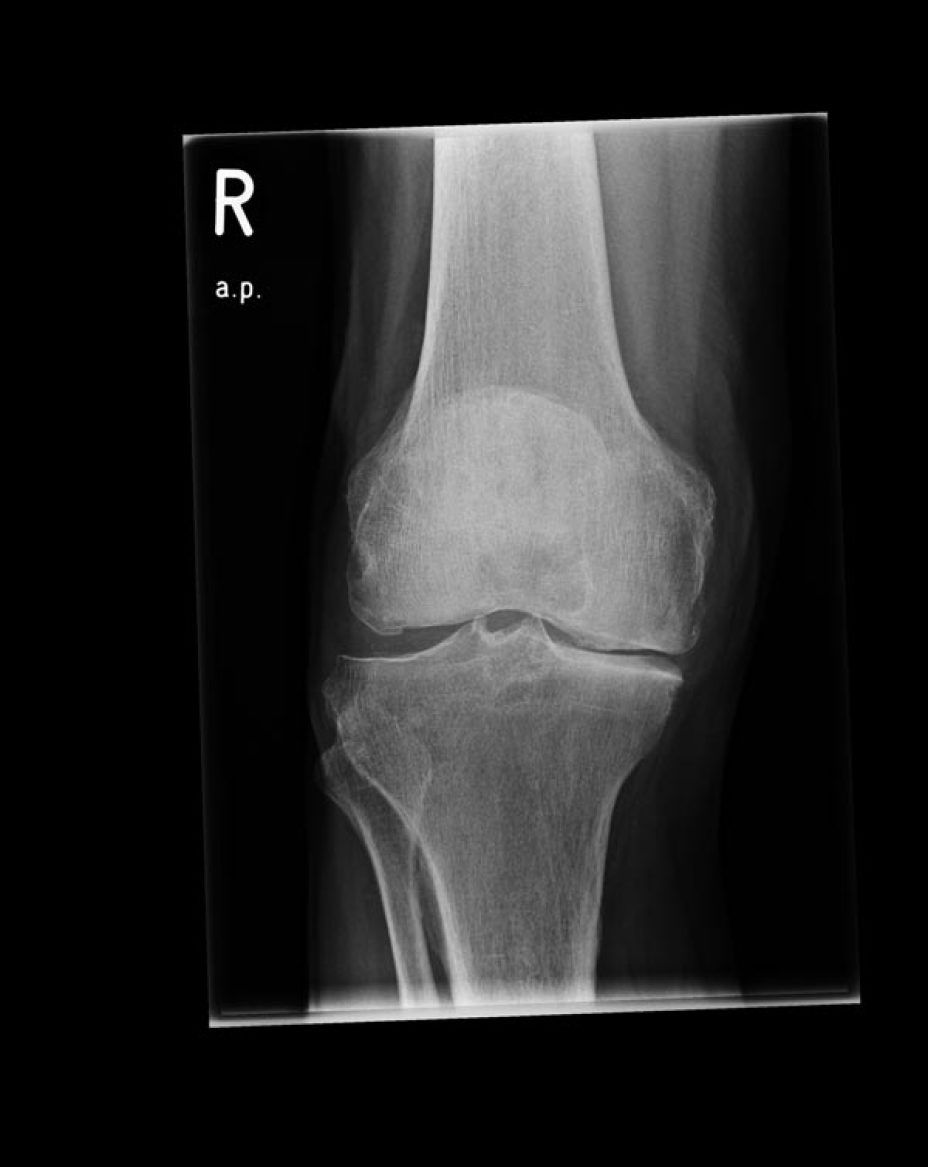
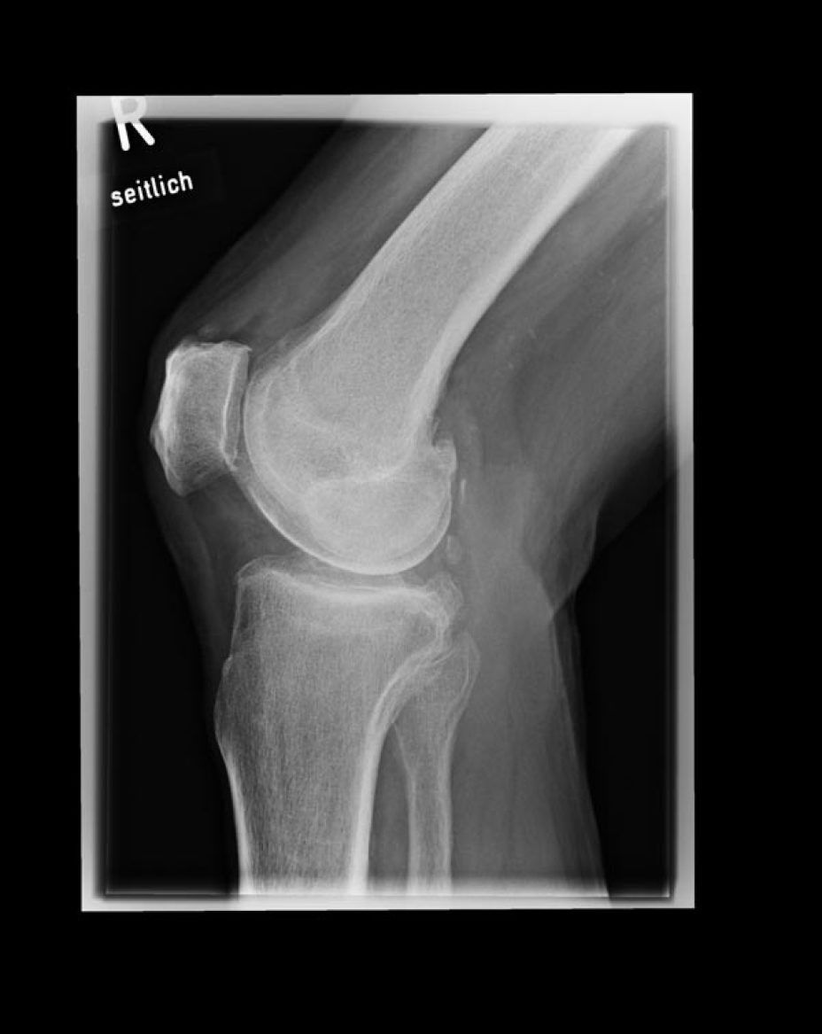
- Coxarthrose, Gonarthrose, Omartrhose sowei Polyarthrose (Gelenkverschleiß)
- Rhizarthrose (Sattelgelenkverschleiß des Daumens)
- Spondylarthrose bzw. Facettensyndrom der LWS (Verschleiß der kleinen Wirbelgelenken der Wirbelsäule)
- Plantarer oder dorsaler Fersensporn (Calaneodynie bei chronischer Fasziitis plantaris der Ferse)
- Insertionstendinopathie der Achillessehne (Achillodynie): chronische Sehnenscheidenentzündung der Achillessehne mit eingeschränkten und schmerzhaften Bewegungen der Ferse oder des Sprunggelenkes möglicherweise entstanden nach Sportverletzungen oder Überbelastung des Sprunggelenkes.
- Bursitis trochanterica: chronische Sehnenscheidenentzündung mit Kalkablagerung im Bereich des Hüftmuskulatur
- Fast alle hartnäckigen Schmerzformen aller Gelenke wegen fortgeschrittener oder aktivierter Arthrose sowie Periarthritis- calcarea aller Köpergelenke
- Kurative Röntgenreizbestrahlung bei Morbus Dupuytren (Hand) und Morbus Ledderhose (Fuß)
Die schmerzlindernde und entzündungshemmende Wirkung niedrig- dorsierter Röntgenreizbestrahlung ist in Vergangenheit immer wieder dokumentiert und nachgewiesen worden. Die Zahlen der Studien sprechen für sich: Über völlige Schmerzfreiheit oder einer wesentlichen Verbesserung ihres Zustandes nach einer Therapie mir niedrig- dorsierten Röntgenstrahlen berichteten:
- 97% der Patienten mit Fersensporn / Insertionstendiose
- 86% der Patienten mit Hüftarthrose und Bursitis trochanterica
- 82% der Patienten mit Schmerzen im Schulterweichteilbereich / PHS
- 80% der Patienten mit Schmerzen im Ellenbogen- / Unterarmbereich
- 64% der Patienten mit Kniearthrose
- 60% der Patienten mit Schulterarthrose
- 50% der Patienten mit Daumenarthrose / Rhizarthrose
Hierbei werden durch die Hochenergie der oberflächlichen Röntgenbestrahlungen die Tumorzellen der Haut getötet. Es wird entweder eine primäre Röntgenbestrahlung zur Volumenminderung des Hauttumors oder eine postoperative adjuvante Röntgennach-bestrahlung durchgeführt.
Wichtigste Indikationen zur kurativen Röntgenstrahlentherapie:
- kleines Hautbasaliom
- Spinaliom (Plattenepithelkarzinom der Haut)
- Rodent-Ulkus (Basalzellkarzinom) der Nase bzw. der Paranasalregion
- kleines Melanom oder Fernmetastasierung eines Melanoms








